Pneumocistose: uma infecção oportunista que pode causar problemas em imunocomprometidos
O que é pneumocistose?
A pneumocistose, pneumonia1 por pneucistos ou pneumonia1 pneumocística, é uma infecção2 oportunista que afeta pessoas com defesas orgânicas seriamente reduzidas, como doentes com AIDS, transplantados e pessoas em tratamento quimioterápico para câncer3. Na maioria das vezes, ela acontece como complicação da AIDS. Antes do surgimento dos coquetéis antivirais atuais, quase todo paciente com AIDS morria de pneumocistose.
Quais são as causas da pneumocistose?
O pneumocisto é um fungo4 normalmente existente nos pulmões5 que, em doentes com grave deficiência imunitária, pode causar pneumonia1. A pneumocistose é causada por um fungo4 unicelular, o Pneumocystes jirovecii (anteriormente referido como Pneumocystis carinii), cujos esporos6 são transmitidos através de gotículas de saliva de pacientes infectados e que prolifera em pessoas imunodeprimidas. Em doentes com AIDS, a infecção2 é, em geral, muito agressiva.
Um pouco de história do pneumocisto
Os pneumocistos foram primeiramente identificados por Carlos Chagas, no início do século XX e, subsequentemente por Antonio Carini. Inicialmente, eles pensaram ter descoberto um novo trypanosoma. Delanoës, porém, reconheceu mais tarde que eles haviam identificado uma nova espécie, com tropismo7 para o pulmão8. O pneumocisto foi de início confundido com um protozoário9 e só em 1988 foi estabelecida sua ligação ao reino dos fungos. Ele foi identificado em praticamente todas as espécies mamíferas, inclusive o homem, com um marcante tropismo7 pelo pulmão8, onde existe primariamente como um patógeno alveolar que se dissemina quando há uma severa imunossupressão10.
Quais são os principais sinais11 e sintomas12 da pneumocistose?
A pessoa com pneumocistose habitualmente é um paciente imunodeprimido, frequentemente com AIDS. A pneumocistose começa progressivamente com febre13, dispneia14 (falta de ar), tosse seca (porque o escarro é muito viscoso para se tornar uma tosse produtiva), perda de peso, suores noturnos e fadiga15. A agudização desses sintomas12 e o aparecimento súbito de dores torácicas intensas sugerem o desenvolvimento de um pneumotórax16. Se houver uma grande quantidade de escarro é sinal17 que o paciente adquiriu também uma infecção2 bacteriana adicional. O fungo4 pode invadir outros órgãos, mas isso é muito raro.
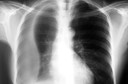
Como o médico diagnostica a pneumocistose?
O diagnóstico18 de pneumocistose pode ser dificultado em virtude de que seus sintomas12 são inespecíficos e pela sua concomitância com outras patologias e terapêuticas. A suspeita do diagnóstico18 é feita a partir da história médica do paciente, pela presença dos sintomas12 e pelos achados do exame físico: dispneia14 e sibilos. Os exames complementares mostrarão, na radiografia de tórax19, um infiltrado intersticial20 difuso e perihilar (próximo ao hilo21 pulmonar), lesões22 nodulares, pneumotórax16 e/ou derrame23 pleural. A presença do parasita24 pode ser confirmada no escarro, em lavado brônquico ou em biópsia25 pulmonar. A gasometria arterial e a DHL (desidrogenase lática26) aumentada auxiliam no diagnóstico18.
Como o médico trata a pneumocistose?
Existem poucas opções de tratamento para pacientes27 com pneumocistose. Geralmente, o tratamento é feito com o Sulfametoxazol-Trimetroprim, mas infelizmente esses medicamentos causam efeitos colaterais28 em muitas pessoas e os pacientes com alergia29 às sulfas não toleram essa terapia. É comum a administração conjunta de corticoide para combater a inflamação30. Outras medicações podem ainda ser combinadas, a critério médico.
Como prevenir a pneumocistose?
A profilaxia para pneumocistose deve ser feita em todos os pacientes, mesmo mulheres grávidas, em que a contagem de linfócitos T CD4+ estiver abaixo de 200/mm³ e/ou para aqueles que já tiveram um episódio anterior de pneumocistose, devendo ser mantida até que a contagem de linfócitos suba além daquele limite. Em pacientes imunodeprimidos, a profilaxia da pneumocistose pode ser feita com o uso oral de cotrimoxazol ou inalação de pentamida. Novamente, essas medicações também causam reações adversas severas que podem constituir contraindicações absolutas ao seu uso. Outra opção é a Dapsona oral, mas o uso dela deve ficar reservado para quando as duas opções anteriores não forem possíveis.
Como evolui a pneumocistose?
A pneumocistose frequentemente é a condição terminal de pacienteis com AIDS.
As notas acima são dirigidas principalmente aos leigos em medicina e têm por objetivo destacar os aspectos mais relevantes desse assunto e não visam substituir as orientações do médico, que devem ser tidas como superiores a elas. Sendo assim, elas não devem ser utilizadas para autodiagnóstico ou automedicação nem para subsidiar trabalhos que requeiram rigor científico.






