Água no pulmão ou derrame pleural: o que é isso? Quando ocorre? Como são o diagnóstico e o tratamento?
O que é “água no pulmão”?
Para compreendermos o que seja ”água no pulmão” precisamos compreender o que seja a pleura1. A pleura1 é a membrana que envolve os pulmões2. Ela é composta por duas camadas, a pleura1 visceral, interna, colada ao pulmão3, e a pleura1 parietal, externa, que fica em contato com as estruturas anatômicas ao redor dos pulmões2. Entre ambas, há uma fina camada de líquido lubrificante. Quando alguma enfermidade atinge as pleuras, sobretudo se infecciosa, esse líquido é produzido em grande quantidade e se acumula entre suas duas “folhas”, gerando o que medicamente se chama derrame4 plural e que é popularmente conhecido como ”água na pulmão”. Na verdade não é “água”, mas líquido biológico, nem está localizada no “pulmão”, mas na pleura1. É sempre uma situação potencialmente grave, indicando certo grau de perigo.
Quais são as causas da “água no pulmão”?
As causas da “água no pulmão” são múltiplas, mas as principais são: complicações cardíacas, tumores, reações secundárias a medicamentos ou infecção5 viral. Pode ocorrer também, embora menos frequentemente, em casos de inalação de substâncias tóxicas, alergia6 a medicamentos, obstrução das vias aéreas superiores, infecções7 outras, traumatismo8 nos pulmões2, etc.

Quais são os principais sinais9 e sintomas10 da “água no pulmão”?
Quando o acúmulo de líquido na pleura1 é pouco volumoso, pode nem chegar a dar sintomas10. Todavia, quando esse volume é maior e comprime os pulmões2, pode gerar dificuldade em respirar, palidez, pontas dos dedos e lábios arroxeados, etc. Pode ocorrer ainda tosse, aperto no peito11 e respiração ruidosa, dificuldade para ficar deitado, etc. Quanto mais volumoso for o derrame4 pleural e quanto mais rapidamente ele se formar, maiores serão os sintomas10. Quando o derrame4 se forma rapidamente os sintomas10 são evidentes, mas quando ele é de formação lenta os sintomas10 podem passar despercebidos durante certo tempo. A esses sintomas10 básicos que acontecem em decorrência da coleção líquida se somam os da enfermidade de base, aquela que causa o derrame4 na pleura1.
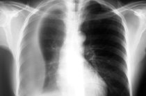
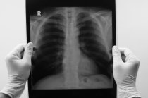
Como o médico diagnostica a “água no pulmão”?
Geralmente, as auscultas cardíaca e pulmonar já fornecem indícios do derrame4 pleural, mostrando uma área de silêncio, no tórax12, mas para confirmar o diagnóstico13 é necessário uma radiografia do tórax12. Coleções líquidas muito pequenas só podem ser diagnosticadas por meio da tomografia computadorizada14 ou da ultrassonografia15. Uma vez constatada a presença de líquido, o mesmo pode ser retirado por toracocentese16 (punção do líquido com uma agulha introduzida através do tórax12, entre as costelas17) e analisado em laboratório quanto a seus aspectos físicos, presença de células18 e composição química. Se necessário pode-se ainda realizar um toracoscopia, com introdução de um endoscópio (aparelho contendo em sua extremidade uma câmera de filmagem) dentro da cavidade pleural19 para visualização da pleura1 e dos pulmões2 e eventual realização de uma biópsia20.
Como o médico trata a “água no pulmão”?
O tratamento da “água no pulmão” depende da sua causa, mas uma providência geral, sobretudo quando a quantidade de líquido é grande, consiste em retirá-lo por meio de uma toracocentese16, associada ao uso de diuréticos21 e cateter ou máscara de oxigênio que ofereçam mais oxigênio ao paciente, quando for o caso. O paciente deve ser mantido sentado. Essas providências são apenas sintomáticas e visam apenas melhorar as condições respiratórias. A fisioterapia22 pode melhorar a perfusão sanguínea e facilitar a respiração. Além disso, deve ser eliminada a causa da ”água no pulmão”, sempre que possível.
Referências:
As informações veiculadas neste texto foram extraídas em parte dos sites da Cleveland Clinic, da National Institutes of Health e da American Society of Clinical Oncology (ASCO).
As notas acima são dirigidas principalmente aos leigos em medicina e têm por objetivo destacar os aspectos mais relevantes desse assunto e não visam substituir as orientações do médico, que devem ser tidas como superiores a elas. Sendo assim, elas não devem ser utilizadas para autodiagnóstico ou automedicação nem para subsidiar trabalhos que requeiram rigor científico.









