Radiografia: como é feita? Para que serve? Quais são as vantagens e as desvantagens médicas?
O que é uma radiografia?
Uma radiografia é uma fotografia do interior do corpo e, a princípio, interessou tanto aos fotógrafos quanto aos médicos. Sem saberem dos perigos da radiação, passaram a usá-la indiscriminadamente para fins lúdicos. A técnica e os aparatos da radiografia foram desenvolvidos por Wilhelm Roentgen em 1895, na Alemanha. O primeiro aparelho de radiografia para uso médico chegou ao Brasil em 1897 e a primeira radiografia foi feita em 1898. A tomada das radiografias antigas era muito demorada (30 a 40 minutos) e expunha os pacientes por um tempo prolongado aos raios X. Não se conhecia ainda os riscos da radiação a que as pessoas eram submetidas, mas todos estavam maravilhados com os raios desconhecidos (daí a denominação de raios X) que podiam atravessar corpos opacos e “fotografar” o interior deles, incluindo o corpo humano1.
Como geralmente acontece na história da ciência, não foram poucos os que pagaram com graves lesões2 ou com a própria vida pelo desconhecimento que inicialmente se tinha dos efeitos nocivos do novo. Com o tempo, o uso da radiação se tornou normatizada e controlada e a radiografia veio a se tornar o mais tradicional e conhecido dos métodos de se obter imagem do interior do corpo e Roentgen ganhou o prêmio Nobel de Física de 1901 pelo seu invento.
Em que se baseia a radiografia?
A radiografia baseia-se no fato de que o feixe de raios catódicos emitidos por uma ampola de raios X (por isso a radiografia é também chamada de Raios X) pode atravessar de modo diferente os diversos tecidos orgânicos e atingirem uma película (“filme”) a eles anteposta, gerando imagens. Como esses raios atravessam com mais facilidade as partes aeradas e os tecidos moles do corpo (de menor densidade), chegam ao filme com maior intensidade e o impressionam mais fortemente na projeção desses órgãos, gerando registros mais escuros. Os tecidos mais densos, como os ossos, por exemplo, os retém mais e eles chegam ao filme com menor intensidade e geram, na projeção desses órgãos, registros mais claros. Assim, depois de revelados, os filmes mostram imagens dos órgãos em diferentes tons de cinza. Na verdade, as imagens projetadas correspondem a áreas de sombra dos raios X emitidos.
A radiografia representou um grande avanço para a Medicina diagnóstica e terapêutica3. Considerada atualmente, a grande desvantagem do método está em imagens de superposição em um único plano de diversos órgãos e na pouca nitidez da imagem dos tecidos moles. Já para a época de sua descoberta ela representou uma revolução.
Hoje em dia, embora ainda continue a ser largamente usada com grande proveito, ela está superada em qualidade como método de obtenção de imagens do interior do corpo (embora não em praticidade e em custo), pela tomografia computadorizada4 e pela ressonância magnética5. A tomografia computadorizada4, afinal, é uma evolução técnica da própria radiografia. As radiografias tornaram-se tão simples e úteis que podem ser feitas mesmo em domicílio e passaram a ser usadas por dentistas e em exames admissionais6 (abreugrafia).
Como se proceder para obter-se uma radiografia?
O exame é rápido e simples. Em geral o equipamento utilizado consta de um tubo de raios X suspenso sobre uma mesa onde o paciente deve deitar-se ou é sustentado sobre um painel vertical ante o qual ele deve colocar-se, interposto entre o filme que registrará a imagem e a fonte emissora de raios X. Uma rápida emissão de raios é então disparada para produzir as imagens e ao paciente é pedido apenas que adote determinadas posturas ou suspenda a respiração durante a passagem dos raios (alguns segundos). Uma caixa debaixo da mesa ou atrás do painel deve conter a placa7 que registrará as imagens.
Para que são utilizadas as radiografias?
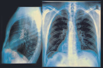
As radiografias são utilizadas em muitas situações médicas diferentes. No exame dos ossos elas podem diagnosticar fraturas, tumores, distúrbios de crescimento e de postura, osteoporose8, entre outras coisas. Nos pulmões9 podem detectar de pneumonia10 ao câncer11, passando por várias patologias e por sinais12 indiretos de afecções13 em outros órgãos (sobretudo no coração14). Por outro lado, pode localizar corpos estranhos ou outros objetos que hajam penetrado os pulmões9 (lâminas, projéteis, etc.). Os dentistas geralmente a usam para descobrir cáries15 e fraturas dos dentes ou para estudar o interior e as raízes dos dentes. Associada a contrastes, a radiografia permite diferenciar tecidos de características bem similares, tais como os músculos16 e vasos sanguíneos17, por exemplo, e serem empregadas em estudos como o das vias urinárias.
Os raios X têm várias outras aplicações fora da Medicina, na Engenharia e na indústria, por exemplo.
Quais são as vantagens e desvantagens médicas das radiografias?
Vantagens:
- Normalmente, as radiografias não têm efeitos secundários. A radiação atualmente é baixa e não fica no organismo.
- Permite uma visualização rápida dos órgãos examinados.
- As radiografias são relativamente baratas quando comparadas, por exemplo, à tomografia ou à ressonância magnética5.
Desvantagens:
- Expõe os pacientes e os técnicos à radiação, embora pequena. Esse risco é mais importante para os técnicos que lidam com ela de forma mais permanente.
- Não pode ser usada em mulheres grávidas, pelo risco de danos ao feto18.
As notas acima são dirigidas principalmente aos leigos em medicina e têm por objetivo destacar os aspectos mais relevantes desse assunto e não visam substituir as orientações do médico, que devem ser tidas como superiores a elas. Sendo assim, elas não devem ser utilizadas para autodiagnóstico ou automedicação nem para subsidiar trabalhos que requeiram rigor científico.








